Ayak Bileği Kıkırdak Ameliyatı Nedir ve Nasıl Yapılır?
Ayak bileği kıkırdak ameliyatı, ayak bileğindeki kıkırdak hasarını tedavi etmek amacıyla uygulanan cerrahi bir yöntemdir. Bu süreç, hasarın nedenleri, ameliyat öncesi değerlendirme, kullanılan teknikler ve sonrası iyileşme aşamalarını içerir. Doğru tedavi ile hastalar eski hareket kabiliyetlerine kavuşabilir.
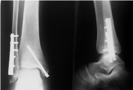
Ayak Bileği Kıkırdak Ameliyatı Nedir Ve Nasıl Yapılır?Ayak bileği, vücudun en önemli eklemlerinden biridir ve günlük hareketlerimizde büyük bir rol oynamaktadır. Ancak, çeşitli travmalar veya dejeneratif hastalıklar sonucunda ayak bileği kıkırdaklarında hasar meydana gelebilir. Bu durum, ağrı, şişlik ve hareket kısıtlılığına neden olabilir. Ayak bileği kıkırdak ameliyatı, bu tür sorunların tedavisinde uygulanan cerrahi bir yöntemdir. Ayak Bileği Kıkırdak Hasarının NedenleriAyak bileği kıkırdak hasarının başlıca nedenleri arasında şunlar yer almaktadır:
Ameliyat Öncesi DeğerlendirmeAyak bileği kıkırdak ameliyatı, kapsamlı bir değerlendirme sürecini gerektirir. Bu aşamada doktor, hastanın tıbbi geçmişini gözden geçirir ve fizik muayene yapar. Ayrıca, aşağıdaki görüntüleme yöntemleri kullanılabilir:
Ameliyat YöntemleriAyak bileği kıkırdak ameliyatında kullanılan çeşitli teknikler bulunmaktadır. Bu teknikler, hasarın boyutuna ve hastanın genel sağlık durumuna göre seçilir. Temel ameliyat yöntemleri şunlardır:
Ameliyat Sonrası SüreçAmeliyat sonrası iyileşme süreci, hastanın durumuna ve uygulanan tekniğe bağlı olarak değişiklik gösterir. Genel olarak, süreç aşağıdaki adımları içerir:
SonuçAyak bileği kıkırdak ameliyatı, kıkırdak hasarının tedavisinde etkili bir yöntemdir. Ancak, her hasta için en uygun tedavi yöntemi belirlenirken dikkatli bir değerlendirme yapılması gereklidir. Ameliyat sonrası doğru bakım ve rehabilitasyon, hastanın iyileşme sürecini olumlu yönde etkileyecektir. Gelişen cerrahi teknikler ve rehabilitasyon yöntemleri sayesinde, hastalar daha hızlı ve etkili bir şekilde eski aktivitelerine dönebilirler. |











.webp)





.webp)











Ayak bileği kıkırdak ameliyatı geçiren biri olarak, bu süreçte yaşadıklarım gerçekten önemli dersler içeriyor. İlk günlerde, ayak bileğimi fazla zorlamamak gerektiğini anladım; bu, iyileşme süreci için kritik bir adımdı. Fizik tedavi egzersizlerini düzenli yapmak, iyileşmeyi hızlandıran en etkili yöntemlerden biri. Ancak, bu egzersizlerin yanı sıra, ayak bileğine aşırı yük bindiren aktivitelerden kaçınmak gerektiğini de tecrübe ettim. Uygun ayakkabı seçimi de son derece önemli; konforlu ve destekleyici ayakkabılar, günlük yaşamı kolaylaştırıyor. Düzenli doktor kontrollerini aksatmamak, iyileşme sürecinin sağlıklı ilerlemesi açısından şart. Ameliyat sonrası, dikkatli ve sabırlı olmak gerekiyor; bu süreç, uzun vadede başarılı sonuçlar getirebilir. Ayak bileği sorunları yaşayan herkesin, bu önemli detaylara dikkat etmesi gerektiğine inanıyorum.
Recep,
Ameliyat Sonrası Süreç
Ayak bileği kıkırdak ameliyatı sonrası yaşadıkların, gerçekten önemli dersler içeriyor. İyileşme sürecindeki dikkatli yaklaşımın, uzun vadede sağlığına olumlu katkılar sağlayacaktır.
İyileşme İçin Kritik Adımlar
Ayak bileğini zorlamamak ve fizik tedavi egzersizlerini düzenli yapmak, iyileşmeyi hızlandıran en etkili yöntemler arasında yer alıyor. Bu süreçte sabırlı olmak, ilerlemeni olumlu yönde etkileyecektir.
Aktivitelere Dikkat
Aşırı yük bindiren aktivitelerden kaçınmak, iyileşme sürecini desteklemenin yanı sıra, karşılaşabileceğin olası riskleri de minimize eder. Bu konuda dikkatli olman, sağlığını koruman adına önemli bir tercih.
Uygun Ayakkabı Seçimi
Konforlu ve destekleyici ayakkabılar giymek, günlük yaşamda kendini daha iyi hissetmeni sağlar. Bu detay, iyileşme sürecini doğrudan etkileyen bir faktör.
Doktor Kontrollerinin Önemi
Düzenli doktor kontrolleri, iyileşme sürecinin sağlıklı bir şekilde ilerlemesi açısından kritik öneme sahiptir. Bu süreçte kendini güvende hissetmek, moral ve motivasyon açısından da büyük bir destek olacaktır.
Sonuç olarak, yaşadıkların ve öğrendiklerin, sadece kendi iyileşme sürecin için değil, benzer sorunlar yaşayanlar için de örnek teşkil edecek nitelikte. Dikkatli ve sabırlı yaklaşımın, başkalarına da ilham verebilir. Geçmiş olsun dileklerimle!
Ayak bileği kıkırdak ameliyatı geçiren biri olarak, bu süreçte yaşadıklarımı ve dikkat edilmesi gerekenleri paylaşmak istiyorum. Ameliyat sonrası yaşanan ilk günlerde ayak bileğimi fazla zorlamamak gerektiğini öğrendim. Fizik tedavi egzersizlerini düzenli yapmak çok önemli; çünkü bu, iyileşme sürecini hızlandırıyor. Ayrıca, ayak bileğine aşırı yük bindiren aktivitelerden kaçınmak gerektiğini deneyimledim. Uygun ayakkabı seçimi ise konfor açısından büyük bir fark yarattı. Dikkat edilmesi gereken en önemli noktaların başında düzenli kontrollerin aksatılmaması geliyor; bu, doktorun süreçteki gelişmeleri izlemesi açısından kritik. Sonuç olarak, bu ameliyatın başarılı geçmesi için tedavi sürecinin dikkatli yönetilmesi şart. Ayak bileğinde kıkırdak problemi yaşayanların, ameliyat öncesi ve sonrası bu konulara dikkat etmesi gerektiğini düşünüyorum.
Değerli Tolay,
Yorumunuzu okudum ve deneyimlerinizi paylaşmanızın çok değerli olduğunu düşünüyorum. Ayak bileği kıkırdak ameliyatı sonrası yaşanan süreçler, birçok kişi için zorlu bir dönem olabilir. Bu noktada, ameliyat sonrası dikkat edilmesi gerekenler kısmında verdiğiniz bilgiler oldukça faydalı. Özellikle, ayak bileğini fazla zorlamamak ve düzenli fizik tedavi egzersizlerinin önemini vurgulamanız, iyileşme sürecinde dikkat edilmesi gereken kritik unsurları gözler önüne seriyor.
Uygun ayakkabı seçimi konusuna da değinmeniz gerçekten önemli; doğru ayakkabı, konforu artırırken aynı zamanda iyileşme sürecine de katkı sağlayabilir. Ayrıca, düzenli kontrollerin aksatılmaması gerektiğini belirtmeniz, doktorun süreçteki gelişmeleri takip edebilmesi açısından son derece kritik. Bu tür ameliyatlar sonrasında yaşanan gelişmelerin düzenli olarak izlenmesi, olası sorunların önüne geçilmesi açısından büyük önem taşıyor.
Sonuç olarak, bu ameliyatı geçirenlerin yaşadıklarınızı dikkate alarak daha bilinçli bir süreç geçireceği kesin. Bilgilerinizi paylaştığınız için teşekkür ederim, umarım bu deneyimleriniz birçok kişiye yardımcı olur. Geçmiş olsun dileklerimi iletiyorum.